Com o tempo, muitas pessoas passam a sorrir menos, evitar fotos e até certos alimentos — não por escolha, mas pela perda dentária que afeta rotina e autoestima.
E quando isso acontece, não é só um dente que falta.
Falta conforto, autoestima e segurança. Falta você sentir-se VOCÊ de novo.
Na clínica da Dra. Claudia Gonçalves, cada tratamento começa entendendo essa jornada. Aqui, implantes não são apenas procedimentos — são caminhos para devolver autonomia, bem-estar e a alegria de sorrir sem pensar duas vezes.

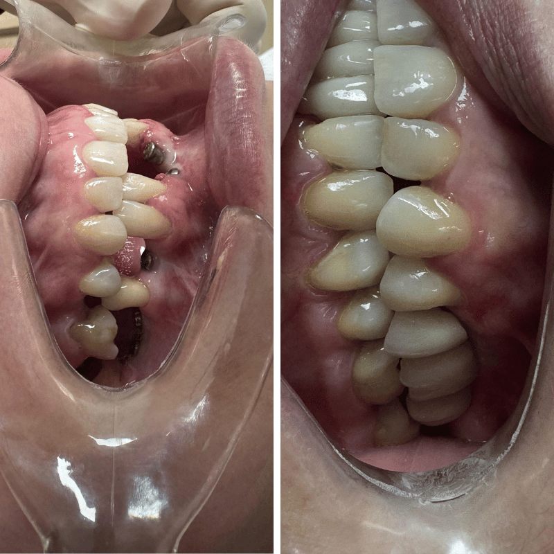
Restauração completa e segura para substituir dentes perdidos, devolvendo firmeza, estética e naturalidade ao sorriso.

Solução estável e confortável para quem busca substituir dentes danificados mantendo um aspecto natural.

Ideal para quem perdeu todos os dentes e deseja firmeza, segurança e estabilidade no dia a dia.

União dos implantes com a estética das próteses, garantindo conforto e durabilidade.

Quando o caso permite, podemos acrescentar dentes provisórios ou até mesmo a carga imediata no mesmo dia.

Tecnologia que permite planejar o implante digitalmente, trazendo precisão, segurança e um pós-operatório mais confortável.





A Dra. Claudia Gonçalves dedica sua carreira a algo que vai muito além de dentes:
ela cuida de histórias, autoestima e da confiança de cada paciente que chega até ela.
Formada em 2005, atua nas especialidades de implantodontia, prótese sobre implante, endodontia, cirurgia oral e tratamentos clínicos.
Ao longo de duas décadas, atuou em centenas de reabilitações complexas, devolvendo não apenas sorrisos — mas a liberdade de mastigar sem dor, de falar com segurança e de sorrir sem medo.
Além da prática clínica, ela também atua como perita odontolegista do Tribunal de Justiça de São Paulo e é CEO da Higidente, reforçando seu compromisso com ética, precisão e responsabilidade.
CRO-SP: 89077
A Dra. Claudia Gonçalves dedica sua carreira a algo que vai muito além de dentes:
ela cuida de histórias, autoestima e da confiança de cada paciente que chega até ela.
Formada em 2005, atua nas especialidades de implantodontia, prótese sobre implante, endodontia, cirurgia oral e tratamentos clínicos.
Ao longo de duas décadas, atuou em centenas de reabilitações complexas, devolvendo não apenas sorrisos — mas a liberdade de mastigar sem dor, de falar com segurança e de sorrir sem medo.
Além da prática clínica, ela também atua como perita odontolegista do Tribunal de Justiça de São Paulo e é CEO da Higidente, reforçando seu compromisso com ética, precisão e responsabilidade.
CRO-SP: 89077